レントゲンの重要性
レントゲン画像を見ることで、体の状態をより詳しく知ることができます。
また、日常生活の環境が、どのように体に影響しているのかを教えてくれます。
姿勢の癖やサブラクセーション(神経圧迫)がどれくらい放置されたのかを分析が可能になります。
それ以外にも「先天的な骨の奇形」や「病理的問題」をみつける場合もあります。
レントゲン画像を評価することで様々な事がわかります。
- サブラクセーションの正確な位置の特定
- サブラクセーションがどの段階であるか
- サブラクセーションが体に及ぼす影響
上記の事を分析する事で、治療計画を明確に進めることができます。
※レントゲン撮影は、強制ではありませんので、撮影ご希望の方はお申し付けください。
椎間板の段階と改善
医療機関と提携しています
「宮田カイロプラクティック」では医療機関の総合病院と提携しております。
より安全に、より正確にカイロプラクティックの施術を行うには、レントゲン分析は必要不可欠と考えています。
※千葉県で唯一、医療機関である総合病院の医師と提携してレントゲン分析を取り入れたカイロプラクティックをしているのは当院だけです。
安全と安心の為にレントゲンが必要
当院では、「小さなお子様」や「妊娠中の方」以外は、できるだけレントゲンを撮っていただくことをお勧めしています。
なぜレントゲン分析が必要なのでしょうか?
それは以下の3つの理由から必要だとしています。
1.適応症と禁忌を判断するため
「すべり症」「分離症」「脊椎の圧迫骨折」といったアジャストメント(調整)が禁止されている部位を事前に確認するためです。
上記のような状況は、レントゲンを撮影することによってのみ判断が可能となります。
不用意なアジャストメント(調整)による悪化の危険性を避けるためにも必要です。
2.病理的な問題に対応するため
骨の病気や腹部大動脈瘤などの危険な状態である場合もあります。
そう言った可能性がある場合は、医師の診断が必要となります。
提携の医療機関にて、適切に検査してもらう必要性があります。
3.骨盤・脊骨のゆがみやズレ正確に分析するため
静的/動的触診だけでは正確に把握できない位置関係と全体のバランスを明確にし、的確なアジャストメント(調整)を行えることを可能とします。
その他ご相談・ご質問などあれば、お越しいただいた際に遠慮なくおっしゃってください。
しっかりと納得をいただいた上でレントゲンの撮影を行っていただきたいと考えています。
レントゲン依頼書もお越しいただいた際にお渡ししています。
レントゲンが必要な理由
- 背骨のカーブや骨盤の歪みを確認するため
- 椎間板の厚みや骨の変形を確認するため
- どこの骨を矯正するか正確に判断するため
- 先天的に奇形や病理的なものを見つけるため
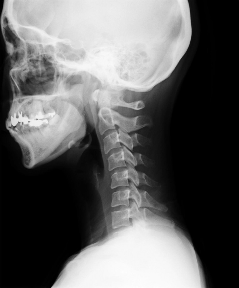
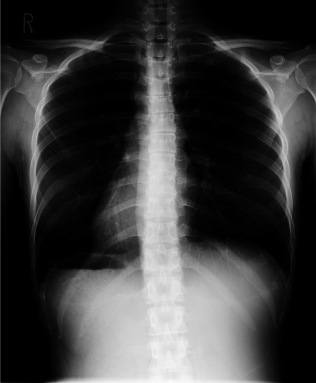
正面像
側面像
両膝正面像
レントゲン撮影にかかる費用
【料金】
7,210円 (税込)
(内訳:レントゲン撮影代 6,110円 + データのCD化 1,100円)
※保険適応外となります。
※レントゲン撮影での受付時間は、月~土曜日の10:30~12:00の間となります。(日・祝休み)
【内容】
・頸椎正面像(開口像)、頸椎側面像
・胸椎正面像、胸椎側面像
・腰椎正面像、腰椎側面像
※その他、両膝の正面像を撮る場合別途費用がかかります。
レントゲン撮影の手順
【初診時以降に撮る場合】
初診時や、施術途中でレントゲンを撮影する場合は以下の手順になります。
- 当院にて、「レントゲン検査 依頼書」をお渡しいたします。
- 撮影日時を決め、当院から提携先へご予約のお電話をします。
- 予約当日、提携先病院の受付にて、「診療申込書」をご記入して、診察券をもらって下さい。
- その後、「放射線科」にてレントゲン撮影です。
- 終わったら、お会計を済ませデータ化したCDを受け取って下さい。
- その後、次回来院時にCDを当院にお持ちになって下さい。
- 次回来院時にレントゲン分析の説明を行い治療していきます。
※「診療申込書」に関しては、辻中病院柏の葉で記入していただくか、辻中病院柏の葉のホームページからダウンロードして印刷してあらかじめご記入いただいても可能です。
「診療申込書」 はこちらから。
【レントゲン撮影を行ってからご予約の場合】
当院で初診の施術を受ける前に、レントゲン撮影してからご予約したい方は以下の手順になります。
- 当院にて、「レントゲン検査 依頼書」をお渡しいたします。
- 撮影日時を決め、当院から提携先へご予約のお電話をします。
- 予約当日、提携先病院の受付にて、診療申込書をご記入して、診察券をもらって下さい。
- その後、「放射線科」にてレントゲン撮影です。
- 終わったら、お会計を済ませデータ化したCDを受け取って下さい。
- その後、CDを当院にお持ちになって、ご予約をお取りいただきます。
- 初診来院時にレントゲン分析を含め治療開始となります。
※「診療申込書」に関しては、辻中病院柏の葉で記入していただくか、辻中病院柏の葉のホームページからダウンロードして印刷してあらかじめご記入いただいても可能です。
「診療申込書」 はこちらから。
レントゲンに関するQ&A
1.レントゲン撮影での放射線は危険?
全く身体に影響がないとは言い切れませんが、人間は地球上のどこに住んでいても常に放射線を浴びています。
1年間で自然から受ける放射線は約3.0㎜シーベルトで、健康診断で撮る胸部のレントゲンは、約0.1㎜シーベルトで訳10日分の自然から受ける放射線と同じだと言われています。
きちんとした設備の下で、正しく使用すれば危険性はありません。
レントゲン画像では目に見えない様々な情報を得ることで、正確なケア計画を立てることができ、大変有益なものであると言えます。
2.背骨のゆがみ&ズレ&ストレートネックは改善するの?
レントゲン画像を見ると背骨のゆがみやズレなども大切なのですが、実際には背骨のズレは、骨折・脱臼・靭帯の断裂などが無い限り存在しないのです。
私たちカイロプラクターがレントゲンで着目している個所は「椎間板」です。
「椎間板」の変性により椎骨が傾くことで、背骨のゆがみやストレートネックなどが現れます。
また、人間には環境に適応する力が備わっています。
毎日の生活環境によって背骨の形状は変化していきます。下を向くようなデスクワークや家事のような環境では、頭部は前方に移動します。
その前方に移動した頭部に対して、バランスをとるために頚椎のカーブは後ろに移動します。結果、環境に適応するためにストレートネックになるのです。
必ずしも背骨のゆがみやストレートネックを改善する必要はないのです。
常に私たちの身体は神経の流れが正常である環境を望んでいるのです。
3.椎間板への栄養供給のためには?
椎間板は深部に存在しているため、直接血液で栄養や酸素供給などができません。
しかし、椎間板にかかる圧力に変化を加えることにより、うまく内部の代謝を向上させることを可能としています。
歩行運動によって股関節を動かすことによって髄核にかかる圧力が増減し、その結果老廃物を排出し、栄養を吸収することができるようになります。
アジャストメント(調整)後、又は長時間同じ姿勢をした後はよく歩くことを心がけましょう。
4.椎間板はひねりやねじれに弱い?
椎間板に存在する繊維は、バームクーヘンのように何層にも重なりあってできた強度の強い構造をしています。
しかし、継続的なひねりやねじれ動作によって繊維の一部の階層にヒビが入ることで耐久性が減少します。
特に椎間板に負荷がかかっているD2~D6の段階では安定するまで身体をひねることやねじることは控えましょう。





お電話ありがとうございます、
宮田カイロプラクティックでございます。